Turner Layton Au Revoir J Attendrai Deep Purple 1939
78 Rpm Turner Layton Au Revoir J Attendrai Deep
Turner Layton Deep Purple Lyrics Musixmatch
Deep Purple Lyrics Turner Layton Only On Jiosaavn
Deep Purple A Song By Turner Layton Clarence Johnstone
Turner Layton Au Revoir J Attendrai Deep Purple
Deep Purple Slow Foxtrot Turner Layton Shazam
Turner Layton Deep Purple Slow Foxtrot
Deep Purple Lyrics Turner Layton Only On Jiosaavn
My Blue Heaven And Other Classics By Turner Layton
Deep Purple Lyrics Turner Layton Only On Jiosaavn
Deep Purple Slow Foxtrot A Song By Turner Layton On Spotify
Deep Purple Selected Early Recordings 1934 And 1938 39
Turner Layton Clarence Johnstone
West Hampstead Life The Eventful Life Of Singer And
Layton Johnstone Turner Layton Clarence Johnstone
Layton And Johnstone What Ll I Do Medley Turner Layton Clarence Tandy Johnstone
45cat Art Tatum Trio Piano Solos With Rhythm
West Hampstead Life The Eventful Life Of Singer And
Vincentisgaming On Twitter Tho You Re Gone Your Love
Turner Layton Clarence Johnstone
Deep Purple Lyrics Sentimental Only On Jiosaavn
Tower Of Terror Queue Music Deep Purple Turner Layton
Roaring Twenties Layton Johnstone My Fate Is In Your Hands 1929
West Hampstead Life The Eventful Life Of Singer And
45cat Art Tatum Trio Piano Solos With Rhythm
G T New Victor Gramophone Plays Turner Layton
West Hampstead Life The Eventful Life Of Singer And
Deep Purple Selected Early Recordings 1934 And 1938 39
Turner Layton Deep Purple Youtube
Tower Of Terror Queue Music Deep Purple
Deep Purple Selected Early Recordings 1934 And 1938 39
Deep Purple Von Turner Layton Bei Amazon Music Amazon De
Sunny Days Layton And Johnstone 1930
Photos Of And Information About Composers Of Numbers That
Tea Dance 2 Another 1920s 30s 40s Vintage Tea Party
Deep Purple Selected Early Recordings 1934 And 1938 39
Turner Layton Deep Purple Youtube
Deep Purple Selected Early Recordings 1934 And 1938 39
West Hampstead Life The Eventful Life Of Singer And
Turner Layton Deep Purple Youtube
Deep Purple Selected Early Recordings 1934 And 1938 39
The Sound Of British Dance Band On Spotify
Sometimes It Snows In April Bittercube Pays Homage To The
Deep Purple Selected Early Recordings 1934 And 1938 39
After You Ve Gone Song History Commentary Discography
Letters From Camp Rehoboth Vol 29 No 12 By Camp Rehoboth
Liberty Hill High School Fall Sports Program 2018 By
Cd Album Pete Fountain Dixieland Classics Ranwood Usa
Deep Purple Selected Early Recordings 1934 And 1938 39
Turner Layton New Songs Playlists Latest News Bbc Music
Iodp Publications Volume 376 Expedition Reports Site U1530
Deep Purple Selected Early Recordings 1934 And 1938 39
Fox Encore October 2017 The Color Purple The Musical
Urban Spelunking Layton Boulevard Tunnels Onmilwaukee
Hits Of The Thirties Hits Of The Thirties Amazon Com Music
Secret Ibiza Releases On Beatport
10 True Crime Documentaries You Need To Watch On Netflix
Cd Album Various Artists The 1930s Classics Collection
Listen Learn Felix Recorda Me Rendition
Turner Layton New Songs Playlists Latest News Bbc Music
Carrie Hope Fletcher Returns To Les Mis Closing Shows And
Listen And Learn Felix There Is No Greater Love Rendition
Dealers Createx Colors Airbrush Paint Us
After You Ve Gone Song History Commentary Discography
Campaigns Elections Education Writers Association
The Black Keys Lo Fi Charms Soar High At Fiserv Forum
Arxiv 1902 06219v2 Cond Mat Soft 6 May 2019
Khruangbin Sets Houston Date Houstonchronicle Com
Tea Dance 2 Another 1920s 30s 40s Vintage Tea Party
Educational Updates In Hematology Book
Deep Purple Selected Early Recordings 1934 And 1938 39
Tpi February 2019 234 By Mondiale Media Issuu
A Particular Kind Of Black Man Book By Tope Folarin
Tea Dance 2 Another 1920s 30s 40s Vintage Tea Party
Windmasterclass Online Classes Felix Peikli
Considerations In Hipsc Derived Cartilage For Articular
Anjunadeep In Ibiza 2019 Anjunadeep Beatport
Memorial Gallery March 2018 Obituaries Photo Gallery
Home 21st Annual Lean Construction Congress 2019
Asja 2019 Annual Writers Conference
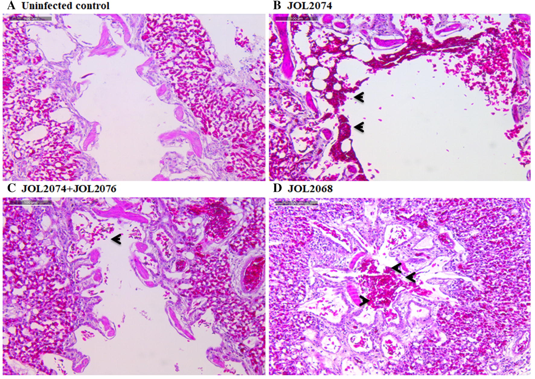
Salmonella Gallinarum Delivering M2ecd40l In Protein And Dna
June 2019 Volume 40 Pp 927 1081
Hsn June 11th 2019 Product Preview 3 Anna Griffin
Four College Students Attempted Rare Book Heist After
The Bluebird Label Discography
Photochemical Photobiological Sciences








0 Yorumlar